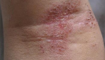
皮肤瘙痒的症状具体有哪些表现形式?皮肤瘙痒是生活中比较常见的皮肤病,很多人会是感觉到皮肤很痒,很想要去抓想要去挠,但是对于具体的皮肤瘙痒症状表现并不是很清楚,那么下面我们就一起来了解下。
病名:皮肤瘙痒
病性:神经精神性皮肤病,也是皮肤神经官能症疾患
皮肤瘙痒的常见症状表现:

①一般来说,全身性原发者:瘙痒现象初的时候仅仅会局限在一处,然后可逐渐扩展至身体大部或者是全身,患者往往会有阵发性的瘙痒,常常在夜间重,而且会由于不断搔抓而出现抓痕、血痂、色素沉着及苔藓样变化等继发损害。
②皮肤瘙痒还可全身发生:特别是以面、背和四肢比较多见,可分为全身性的皮肤瘙痒以及局限性的皮肤瘙痒。全身性的皮肤瘙痒症初仅局限于一处,还可逐渐扩展至身体大部或者是全身。而局限性的皮肤瘙痒可出现在身体的某一部位,一般是以肛门、阴囊及女阴等部位比较多见。
③皮肤瘙痒大多是没有原发性的皮炎的:本病往往会有阵发性的剧烈瘙痒,并且瘙痒的发作有定时的特点。除此之外,患者还会有烧灼、虫爬及蚁行等感觉。另外,当人们感情冲动、环境温度变化及衣服摩擦等刺激的时候,可使得瘙痒发作或者是加重。
注意:皮肤瘙痒慎用激素治疗
很多患者在发生皮肤瘙痒的时候会自行选用一些药物治疗,肤康医师提醒患者:盲目用药很有可能会对皮肤造成不良影响,产生副作用。

特别是一些含激素的外用药膏如皮炎平、无极膏、肤轻松等皮质类固醇霜,长期使用后很有可能会出现皮肤异常,如继发感染、毛囊炎、毛细血管扩张、激素性皮炎等。
三联杀菌脱敏疗法快速止痒不复发
沈阳肤康医院 通过多年的病理研究和临床治疗经验,针对患者的肌体功能特点和发病的季节,通过药物的热辐射作用,使患部血管扩张,改善血液循环。
药物经熏蒸作用于肌体后,其挥发性成分经皮肤吸收,局部可保持较高的浓度,能长时间发挥作用,对改善血管的通透性和血液循环,加快代谢产物排泄,促进吸收,提高机体防御及免疫能力、促进功能恢复具有积极的作用。
一般患者在治疗1周内皮肤瘙痒症状得到缓解。根据症状及程度差异,多数患者均可较短时间痊愈。如发病时间长,以往又反复应用激素类药物治疗而较为严重的患者,因机体的内分泌与免疫功能等受到一定损害,见效与根治需用的时间则较长。
【沈阳肤康医院 】作为“全国十大皮肤病专科医院”,辽宁省领航者皮肤专科医院,汇聚国内一线医师坐诊,诊疗经验丰富,看病实在,赢得患者口碑相传。

选择肤康治疗皮肤瘙痒的五大理由
在此,您可以直接询问肤康皮肤病医院医师,详细了解皮肤瘙痒的症状及相关问题,并可直接<拨打>电话4008-120-707,获得专业帮助。

温馨提示:本网站已加密,绝对保证您的隐私安全,就诊前通过手机预约可免排队等候,免医师挂号费。15秒挂号到院免排队,优先就诊。